२०८३ वैशाख ८, मंगलबार
Health Aawaj logo
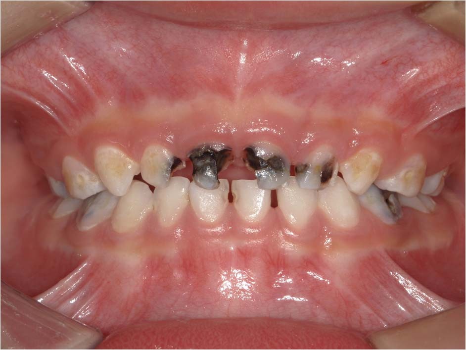
गृहपृष्ठजनस्वास्थ्यबालबालिकामा देखिने दन्त सडनः अर्ली चाइल्डहुड केरिज

बालबालिकामा देखिने दन्त सडनः अर्ली चाइल्डहुड केरिज


अमेरिकन एकेडेमी अफ पेडियाट्रिक डेन्टिष्ट्रीकाअनुसार ६ वर्षमुनिका बालबालिकामा देखिने दन्त सडनलाई ‘अर्ली चाइल्डहुड केरिज’ भनिन्छ । पछिल्लो तथ्यांककाअनुसार विश्वका करिब ४८ प्रतिशत बालबालिका यस प्रकारको दन्त अवस्थाबाट विक्षिप्त छन् ।

ठूला मानिसमा देखिने दन्त सडनजस्तै यस प्रकारको दन्त सडनको विकास पनि अव्यवस्थित खानपिन, दन्त प्रकृति र कीटाणुहरुको त्रिकोणात्मक सम्बन्धबाट हुने गर्छ । फरक यतिमात्र रहन्छ कि दूधे दाँतहरु आफैमा कमजोर प्रकृतिका हुन्छन्, त्यसमा पनि बालबालिकाको अव्यवस्थित खानपिनको शैलीले गर्दा यस किसिमको दन्त सडन तीब्र रुपमा फैलिने गर्दछ ।

आम जनमानसमा दूधे दाँतलाई अझै पनि अस्थायी दाँतका रुपमा मान्ने गरिन्छ र यसको हेरचाह प्राथमिकतामा राखिएको पाइदैंन् । यसको प्रमुख कारण नै आम जनमानसमा दूधे दाँतको महत्वका बारेमा सचेतना नहुनु हो ।

SHOFU DENTAL DIGITAL CAMERA

विभिन्न अध्ययनहरुकाअनुसार दूधे दाँतको हेरचाह नगरी समय नपुग्दैं निकालिदिने प्रवृत्तिका कारणले गर्दा स्थायी दाँत आउन समय लाग्ने, धेरै समय दूधे दाँतमा संक्रमण हुनाले आउने स्थायी दाँत राम्रोसँग नबन्ने हुन्छ । त्यसका साथसाथै आफ्नो ठाउँमा नउम्रिनेजस्ता समस्या आइपर्ने हुन्छ ।

अर्ली चाइल्डहुड केरिजको रोकथाम र व्यवस्थापन कसरी गर्ने ?

१. बालबालिकाको पहिलो दाँत आउनासाथ नै दाँत सफा गर्नु पर्दछ ।
२. दाँत नआएको बेलामा पनि गिजा सफा राख्नु पर्दछ ।
३. बालबालिकाको पहिलो दन्त परीक्षण पहिलो जन्म दिन मनाउनु पूर्व गराइदिनुपर्छ ।
४. आमाको स्तनपान गराइसकेपछि दाँत तथा गिजालाई सफा कपडाले सफा गराइदिनु पर्दछ ।
५. रात्रीकालीन स्तनपानलाई बन्द गराउने ।
६. फ्लोराइडयुक्त मञ्जनको प्रयोग गराउने ।
७. आवश्यकताअनुसार दन्त चिकित्सकबाट फ्लोराइड लगाइदिने ।
८. स्वस्थ खानेकुरा सेवन गराउने ।
९. नियमित दुई पटक फ्लोराइडयुक्त मञ्जनले दाँत सफा गराउने ।

(बाल दन्त चिकित्सक डा. पौडेल युनिभर्सल मेडिकल कलेजमा लेक्चररका रुपमा कार्यरत छन् ।)


क्याटेगोरी : जनस्वास्थ्य



तपाईको प्रतिक्रिया दिनुहोस


ट्रेण्डिङ